Metaphyseal Osteopathy

Metaphyseal osteopathy, (also known as hypertrophic osteodystrophy) is an uncommon syndrome seen in young medium, large and giant breeds of dogs. Age of onset ranges between 7 weeks and 8 months, and the highest incidence is reported for dogs between 3 and 4 months of age. It has been diagnosed in 40 breeds of dogs as well as in mixed-breed dogs. A specific breed predisposition has been reported for Great Danes, Boxers, German Shepherds, Irish Setters, and Weimaraners (Irish wolfhounds, St Bernards, Border Collies, Labrador retrievers may also be over-represented); therefore, it is likely that an inherited factor plays a role in the pathogenesis of the disease. In the Weimaraner entire litters and closely related animals are reported to be affected, which indicates a strong heritable component for the disease in that breed. Metaphyseal osteopathy in littermates and closely related dogs has also been reported in Australian Kelpies and Irish Setters. Metaphyseal osteopathy has also been reported in cats.

The condition is characterised by grossly observable swellings of the distal metaphyses of the radius and ulna, and much less commonly, the tibia. The costochondral junctions, metacarpal and metatarsal bones, proximal humerus, and craniomandibular region (it is possible that craniomandibular osteopathy may be a different clinical manifestation of metaphyseal osteopathy) may also be involved.

Metaphyseal Osteopathy: Key Points

  • Rapidly growing large breed dogs; typically two to six months of age
  • Great Danes, Boxers, German shepherds, Irish setters, Weimaraners predisposed
  • Acute onset swellings of the distal metaphyses of the radius > ulna >> tibia
  • Lameness may vary from mild to severe
  • Fever, anorexia, depression in many cases
  • Radiography: radiolucent line (pseudophysis) in metaphyseal bone adjacent to physis is pathognomonic 
  • Self-limiting; symptomatic treatment e.g. IV fluids, analgesics, NSAIDs
  • Relapse is common
  • A less common peracute presentation with severe systemic illness may warrant immunosuppressive corticosteroid therapy, particularly in Weimaraners
  • Aetiology unknown: autoinflammatory disorder has recently been postulated 

Mediolateral and dorsopalmar views of the right carpus at Zero hours (presentation) and +48 hours are shown:

Zero hours: on the mediolateral view irregular radiolucencies are visible in the radial metaphysis (green arrows). A subtle lucency is also evident in the caudal metaphysis of the ulna. On the dorsopalmar view, subtle radiolucencies in the radial metaphysis are highlighted (green arrows).

48 hours: on the mediolateral view radiolucencies in the radial metaphysis have coalesced to form a more linear lucency parallel to the physis. Also, note a more prominent lucency in the caudal metaphysis of the ulna. On the dorsopalmar view, multiple lucencies in the radial metaphysis are forming a somewhat linear pattern.

Hypertrohpic osteodystrophy progression right
Hypertrohpic osteodystrophy progression right

Mediolateral and dorsopalmar views of the right carpus at Zero hours (presentation) and +48 hours are shown:

Zero hours: on the mediolateral view irregular radiolucencies are visible in the radial metaphysis (green arrows). A subtle lucency is also evident in the caudal metaphysis of the ulna. On the dorsopalmar view, subtle radiolucencies in the radial metaphysis are highlighted (green arrows).

48 hours: on the mediolateral view radiolucencies in the radial metaphysis have coalesced to form a more linear lucency parallel to the physis. Also, note a more prominent lucency in the caudal metaphysis of the ulna. On the dorsopalmar view, multiple lucencies in the radial metaphysis are forming a somewhat linear pattern.

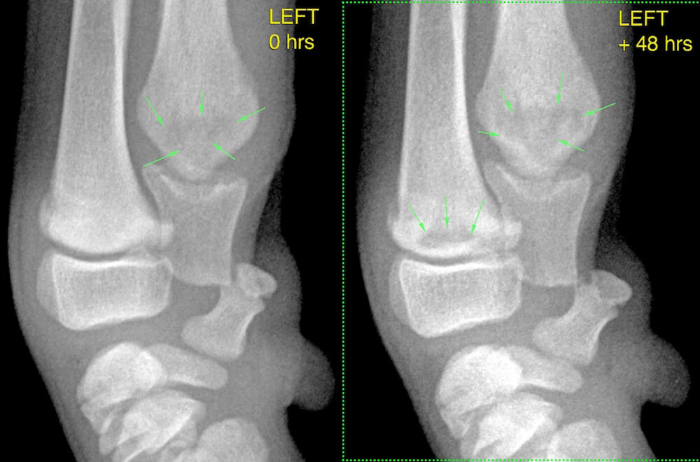
Mediolateral views of the left carpus at Zero hours (presentation) and +48 hours are shown: note how quickly the radiographic appearance can change, highlighting the importance of re-radiographing two to three days later if there is doubt over the initial diagnosis.

Zero hours: irregular radiolucencies are visible in the ulnar metaphysis (green arrows).

48 hours: radiolucencies in the ulnar are much more prominent (green arrows). A somewhat linear lucency has developed in the metaphysis of the radius parallel to the physis (green arrows).

Hypertrohpic osteodystrophy 48hrs L
Hypertrohpic osteodystrophy 48hrs L

Mediolateral views of the left carpus at Zero hours (presentation) and +48 hours are shown: note how quickly the radiographic appearance can change, highlighting the importance of re-radiographing two to three days later if there is doubt over the initial diagnosis.

Zero hours: irregular radiolucencies are visible in the ulnar metaphysis (green arrows).

48 hours: radiolucencies in the ulnar are much more prominent (green arrows). A somewhat linear lucency has developed in the metaphysis of the radius parallel to the physis (green arrows).

Clinical Signs

Clinical manifestation of metaphyseal osteopathy may range from mild, self-limiting disease to peracute onset severe multisystemic life-threatening illness.

An acute onset of bilaterally symmetrical soft-tissue swelling (+/- heat) over the distal forelimbs with a short history of mild lameness is typical; palpation of affected bones is painful. Metaphyseal swelling should be differentiated from joint swelling by palpation/manipulation. Not uncommonly dogs will exhibit systemic illness; signs may include pyrexia (can be marked), anorexia, lethargy, pain, arched back, diarrhoea, ocular and nasal discharge, skin pustules or nodules, hematochezia, vulvovaginitis, footpad hyperkeratosis and pathological respiratory sounds/pneumonia.

Laboratory findings

Mild non-regenerative anaemia and leukocytosis are relatively common findings. Bacterial culture of blood has been recommended in severely affected dogs (essential if corticosteroid treatment is being considered).

Radiographic Signs

Initial signs are of a thin, radiolucent line affecting the metaphysis parallel to the physis; the radius is most commonly affected. A thin margin of subchondral bone sclerosis may parallel the lucent zone and is caused by the collapse of necrotic trabecular bone. Periosteal new bone formation in the metaphyseal region ensues. The lucent line is replaced by an increased radiodensity. A new radiolucent line appears between the physis and the radiodense region in cases of relapse. While metaphyseal thickening may regress, a permanently thickened metaphysis is not uncommon. Changes are most commonly seen in the distal radius > ulna > tibia. Proximal metaphyses may be involved in more chronic cases. Less commonly, other bones including the mandible, scapula, ribs and metacarpals may be affected.

Differential Diagnosis

Differential diagnosis includes hip and elbow dysplasia, shoulder OCD, panosteitis, cruciate disease and fractures, in addition to polyarthritis, systemic lupus erythematosus and bacterial endocarditis where shifting lameness is a feature.

Histology

The metaphyseal area adjacent to the physis consists of disrupted trabeculae; there is a neutrophilic inflammatory response associated with necrosis, haemorrhage, haemosiderin deposits, fibrosis and increased osteoclast numbers. Subperiosteal haemorrhage and thickened periosteum are also evident.

Pathogenesis

The pathogenesis is currently unknown; vitamin C deficiency has been proposed but has been largely disproven. Circumstantial evidence suggests that the canine distemper virus may be involved with metaphyseal osteopathy, especially after vaccination. Virus has been detected in bones of some dogs with metaphyseal osteopathy . Bacterial infection has also been postulated; the multifocal perivascular infiltrations of neutrophils seen histologically are somewhat suggestive of an osteomyelitis, and more typical of bacterial rather than viral infection. In Weimaraners disease has developed following vaccination; the disease in Weimaraners (and Irish Setters) likely has a multifactorial aetiology related to immunocompetence, neutrophil dysfunction and canine distemper virus.

A recent study of affected Weimaraners and Irish Setters  found elevated immune markers in affected dogs, demonstrating an immune profile similar to comparable autoinflammatory disorders in children.

Treatment

Systematic treatment should be instituted; analgesics +/- anti-diarrhoeal medications are typically indicated. Antibiotics should be used if infection is suspected. NSAIDs, opioids +/- IV fluids are likely to be appropriate for the majority of cases, however, in a study of comparing the use of NSAIDs and corticosteroids for treating metaphyseal osteopathy in Weimaraners, 54.5% failed to respond to NSAIDS. In contrast, 100% of Weimaraners treated with corticosteroids showed resolution in 8 to 48 hours of treatment.

Despite the inherent risks in young dogs it may be appropriate to consider immunosuppressive doses of short-acting corticosteroids for dogs that present with the peracute syndrome and/or more severe systemic illness, particularly in breeds such as the Weimaraner. Bacterial infection should be excluded prior to commencing corticosteroid therapy.

Prognosis

Many dogs recover within 7 to 10 days regardless of treatment, however, death rates/euthanasia as high as 33% have been reported. Relapse is relatively common and may occur until closure of the physes. Limb deformities may develop in more severe cases. e.g. cranial bowing of the forelegs and valgus deformity of the carpus.

References:

Safra N, Hitchins PL, Maverakis E, Mitra A, Korff C et al. Serum levels of innate immunity cytokines are elevated in dogs with metaphyseal osteopathy (hypertrophic osteodystrophy) during active disease and remission

Safra N, Johnson EG, Lit L, Foreman O, Wolf ZT, Aguilar M, et al. Clinical manifestations, response to treatment, and clinical outcome for Weimaraners with hypertrophic osteodystrophy: 53 cases (2009–2011) J Am Vet Med Assoc. 2013 May 1; 242(9): 1260–1266

C.M. Greenwell, P.H. Brain, A.L. Dunn Metaphyseal osteopathy in three Australian Kelpie siblings Aust. Vet. J., 92 (2014), pp. 115–118

Brown, G.S., and Pool, R.R., 2007. Hypertrophic Osteodystrophy Irish Setter Club of America.

S. Harrus, T. Waner, N. Aizenberg Safra, A. Mosenco, M. Radoshitsky, H. Bark Development of hypertrophic osteodystrophy and antibody response in a litter of vaccinated Weimaraner puppies J. Small Anim. Pract., 43 (2002), pp. 27–31

V. Abeles, S. Harrus, J.M. Angles, G. Shalev, I. Aizenberg, Y. Peres, I. Aroch Hypertrophic osteodystrophy in six weimaraner puppies associated with systemic signs Vet. Rec., 145 (1999), pp. 130–134

Brinker, Piermattei, Flo et al. Handbook of Small Animal Orthopaedics and Fracture Repair, Fifth Edition

Bojrab JM, ‎Waldron DR, Toombs JP. Current Techniques in Small Animal Surgery, Fifth Edition

Thrall DE. Textbook of Veterinary Diagnostic Radiology, Sixth Edition

Fossum T. Small Animal Surgery - 4th Edition

Slatter D. Textbook of Small Animal Surgery, Third Edition

Houlton JEF, Cook JL, Innes JF, Langley-Hobbs SJ. BSAVA Manual of Canine and Feline Musculoskeletal Disorders

dog-heads-1024x215