Panosteitis

Panosteitis is a relatively common condition of the long bones in large breeds of young dogs of 5 to 18 months of age, with a peak incidence between 5 & 12 months (cases have been reported in German shepherd dogs as young as 2 months and as old as 7 years). Various aetiologies have been postulated; viral infection appears one of the the more probable causes and a multi-factorial aetiology is not unlikely. Breeds at greatest risk for panosteitis include German shepherd dogs, basset hounds, Chinese Shar-Peis, giant schnauzers, Great Pyrenees, and mastiffs. Small breeds may very rarely be affected. Although panosteitis may cause severe lameness it is self-limiting and resolves with no permanent impairment. Males are affected much more often than females. In females the initial episode may coincide with oestrus. The ulna is by far the most commonly affected bone, followed by the radius, humerus, femur and tibia.

Panosteitis: Key Points

  • Typically young large-breed dogs
  • German Shepherd over-represented
  • Males are affected substantially more often than females
  • Shifting lameness in approximately 50% of cases
  • Gentle palpation of affected areas of long bones typically elicits a pain response
  • Sclerotic radiodensities particularly at the proximal and distal ends of the diaphysis
  • Ulna >> Radius > Humerus > Femur > Tibia
  • Self-limiting; symptomatic treatment of pain with analgesics as required

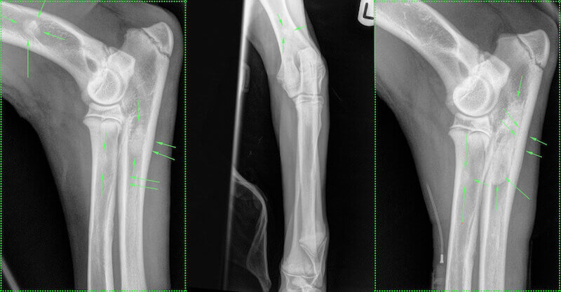
Mediolateral and craniocaudal views of the left elbow and a mediolateral projection of the right elbow are shown.

The lesions seen in these images are as classically described for the middle radiographic phase of panosteitis, however, radiographic changes may be more subtle depending on severity of the condition and the timing of radiographs.

The green arrows highlight the sclerotic radiodensities in the diaphyses of the humerus, radius and ulna (left mediolateral view), humerus (left craniocaudal view) and radius and ulna (right mediolateral view). The arrows also highlight endosteal and periosteal involvement with cortical thickening in both mediolateral views.

Panosteitis web-3
Panosteitis web-3

Mediolateral and craniocaudal views of the left elbow and a mediolateral projection of the right elbow are shown.

The lesions seen in these images are as classically described for the middle radiographic phase of panosteitis, however, radiographic changes may be more subtle depending on severity of the condition and the timing of radiographs.

The green arrows highlight the sclerotic radiodensities in the diaphyses of the humerus, radius and ulna (left mediolateral view), humerus (left craniocaudal view) and radius and ulna (right mediolateral view). The arrows also highlight endosteal and periosteal involvement with cortical thickening in both mediolateral views.

Clinical Signs

Acute onset lameness unaffected by rest or exercise. Lameness may be marked and may last from days to weeks. Other limbs become involved in approximately 50% of cases resulting in a “shifting lameness”, such that multiple episodes of lameness may occur over several months. Dogs may be sound between bouts of lameness in contrast to other developmental orthopaedic diseases.

Although the lesions can affect any part of the diaphysis of a long bone, they often originate and are most pronounced near the nutrient foramen. Palpation of affected areas of long bones (especially in the vicinity of nutrient foramina) may elicit a significant pain response. Palpation must avoid impinging on soft tissues to avoid misinterpretation.

Severity and location of radiographic lesions do not necessarily correlate with the severity of clinical signs, and the most clinically affected limb may not have the most pronounced radiographic lesions.

Radiographic Signs

Radiographic changes may be subtle early in the course of the disease and may include increased radiolucency in the region of the nutrient foramen followed by blurring and accentuation of trabeculae. If changes are not apparent on initial radiographs further images should be obtained several weeks later.  In the middle phase sclerotic radiodensities appear, particularly at the proximal and distal ends of the diaphysis. Endosteal and/or periosteal involvement may be evident, eventually resulting in a thickened cortex.  Late in the disease, opacities resolve, leaving coarse, thickened trabecular bone that eventually normalises, although cortical thickening may persist. The histological and radiological course of the disease lasts about 90 days in a particular bone.

Differential Diagnosis

Differential diagnosis includes hip and elbow dysplasia, shoulder OCD, cruciate disease and fractures, in addition to  polyarthritis, systemic lupus erythematosus and bacterial endocarditis where shifting lameness is a feature. The diagnosis of panosteitis is determined by palpation and radiography.

Treatment

Treatment is symptomatic to relieve pain. NSAIDs and opioids should be used in preference to corticosteroids wherever possible.

References:

Brinker, Piermattei, Flo et al. Handbook of Small Animal Orthopaedics and Fracture Repair, Fifth Edition

Bojrab JM, ‎Waldron DR, Toombs JP. Current Techniques in Small Animal Surgery, Fifth Edition

Thrall DE. Textbook of Veterinary Diagnostic Radiology, Sixth Edition

Fossum T. Small Animal Surgery - 4th Edition

Slatter D. Textbook of Small Animal Surgery, Third Edition

Houlton JEF, Cook JL, Innes JF, Langley-Hobbs SJ. BSAVA Manual of Canine and Feline Musculoskeletal Disorders

dog-heads-1024x215